 |
Кариес зубов – самое распространенное и древнее заболевание человека. В точном переводе слово «кариес» означает гниение. Это длительный, подчас незаметный для человека процесс растворения эмали зуба под действием вредных микроорганизмов, неправильной диеты, общего ослабления организма человека, который приводит к образованию полости в зубе. Читать далее.... |
| |
|
 |
Ортодонтия – одна из областей стоматологии, которая проводит аппаратурное лечение любых аномалий в зубочелюстной системе человека. Подобные аномалии не редкость, и встречаются как на отдельных зубах, так и на целом зубном ряде. Например, встречаются деформации формы зуба или его размера, а также сужение целого зубного ряда. Одновременно с ... Читать далее....
|
| |
|
 |
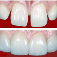
Отбеливание зубов ZOOM. Современные стоматологические методы нацелены не только на здоровье зубов, но также и на улучшение их эстетических свойств. Сейчас красивая улыбка – не менее притягательна, чем стройная фигура или ухоженные волосы. Одна из самых распространенных проблем, с которой сталкиваются люди во всём мире, это неидеальный... Читать далее....
|
| |
|
 |
Имплантация зубов — это установление «корня», изготовленного из циркония или титанового сплава, в нижнюю или верхнюю часть челюсти. Имплантаты зубов используются как опоры, на которые укрепляются либо зубные протезы, либо коронки, взамен потерянных зубов. Обычно «имплант» состоит из двух частей... Читать далее.... |
| |
|
 |
Протезирование зубов. Среди значительной части обывателей бытует мнение, что зуб – это простая костяшка, которая служит исключительно для измельчения пищи. На самом деле зубы играют огромное влияние на человеческий организм. Потеря зубов приводит не только к возникновению неудобств... Читать далее....
|
| |
|
 |
Лечение пульпита. Пульпа – это мягкая ткань, выстилающая внутреннюю полость зуба, она отличается высокой чувствительностью и реагирует на самую незначительную инфекцию и перепады температур. Читать далее.... |
| |
|
 |
Удаление зуба мудрости. Зубы мудрости могут появиться в возрасте от 16 до 25 лет, поэтому их рост зачастую сопровождается ощутимым дискомфортом. Главным симптомом роста восьмого зуба в ряду является отек десны, который нередко сопровождается ее травмированием из-за нарушения прикуса.... Читать далее.... |
| |
|
 |
Основные операции по лечению главных болезней зубов. Основные операции на амбулаторном хирургическом приеме можно разделить на три группы: Читать далее.... |
| |
|
 |
Удаление зубного нерва - депульпация. "Панцирь" зубной эмали скрывает под собой чувствительную "начинку" - мягкую, рыхлую пульпу. Это сложный клубок, образованный нервами и кровеносными сосудами. Воспаление пульпы оборачивается болью в зубе, которая может надолго затянуться Читать далее.... |
| |
|
 |
Как в стоматологии называются межзубные промежутки? Увеличенный зазор между центральными резцами называется диастемой. Размеры такого интервала могут достигать 1 см, но в большинстве случаев они варьируются ... Читать далее.... |
| |
|
 |
Что же такое шинирование зубов? Шинирование зубов – метод, с помощью которого вы навсегда сможете забыть о такой ситуации, как высокая подвижность зубов, их расхождение, в особенности передней верхней и нижней челюсти. ... Читать далее.... |
| |
|
 |
Преймущества керамики на драгоценном метале Одним из наиболее эстетичных, надежных, безопасных и долговечных типов коронок является керамика на драгоценном металле. Этот материал обладает множеством достоинств ... Читать далее.... |
| |
|
.jpg) |
Стоит ли ставить брекеты? Плюсы и минусы устранения прикуса Казалось бы, сегодня уже никого не удивляет, если взрослый человек носит брекеты. Тем не менее, многие люди сомневаются, насколько эффективен этот метод исправления прикуса, и что он даёт больше, вреда или пользы. ... Читать далее.... |
| |
|
 |
Отбеливание зубов Opalescence Boost Используя пероксид карбамида стоматологи эффективно и безопасно осветляют на несколько тонов зубную эмаль пациента по методике отбеливания Opalescence Boost. Активное вещество по своей формуле и действию схоже с перекисью водорода, но, в отличие от последнего, не деформирует эмаль и не раздражает слизистую полости рта.Читать далее.... |
| |
|